نعرض لكم زوارنا أهم وأحدث الأخبار فى المقال الاتي:
استخراج ملعقة من بطن سيدة مسنة في مستشفى شبين الكوم التعليمي بالمنوفية - وضوح نيوز, اليوم الأربعاء 3 ديسمبر 2025 11:55 صباحاً
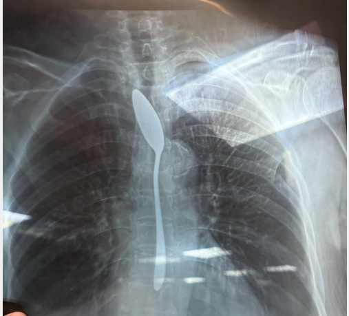
نجح فريق طبي بقسم الجراحة العامة في مستشفى شبين الكوم التعليمي بمحافظة المنوفية في إجراء عملية دقيقة لاستخراج ملعقة من بطن سيدة مسنة تبلغ من العمر 70 عامًا.
وقال الدكتور أحمد شهاب، طبيب الجراحة العامة بالمستشفى، إن المريضة وصلت إلى قسم الطوارئ بصحبة نجلتها التي أوضحت أن والدتها قامت بابتلاع ملعقة صغيرة بالخطأ، ما تسبب في شعورها بآلام شديدة.
وأضاف أنه تم إجراء أشعة فورية للمريضة، والتي أكدت وجود جسم معدني داخل المعدة، وعلى الفور تم تجهيز الحالة ودخولها غرفة العمليات، حيث تمكن الفريق الطبي من استخراج الملعقة خلال مدة قياسية تراوحت بين 5 و7 دقائق فقط.
وأكد الفريق الطبي أن المريضة بحالة مستقرة بعد العملية، وتم وضعها تحت الملاحظة الطبية للاطمئنان على سلامتها.

















0 تعليق