نعرض لكم زوارنا أهم وأحدث الأخبار فى المقال الاتي:
دراسة بالرنين المغناطيسي تكشف تأثيرات طويلة الأمد لكوفيد-19 على الدماغ - وضوح نيوز, اليوم السبت 20 ديسمبر 2025 12:50 مساءً
كشفت دراسة علمية حديثة، استندت إلى تحليل صور بالرنين المغناطيسي، أن فيروس كوفيد-19 قد يترك آثارًا مستمرة على الدماغ، تمتد حتى بعد التعافي التام من الإصابة، بما في ذلك الحالات التي لم تُسجَّل لديها أعراض واضحة.
وأظهرت الدراسة، التي أجراها باحثون من جامعة غريفيث الأسترالية ونُشرت في مجلة Brain، Behavior، & Immunity Health، أن تأثير كوفيد-19 لا يقتصر على الجهاز التنفسي فقط، بل يشمل تغيّرات ملموسة في أنسجة الدماغ، حتى لدى الأشخاص الذين يعتبرون أنفسهم متعافين تمامًا.
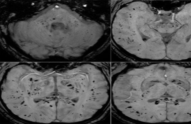
وأوضح الباحث الرئيسي، الدكتور كيران تاباليا، أن فريق الدراسة استخدم تقنيات متقدمة للتصوير بالرنين المغناطيسي متعددة الوسائط، بهدف تحليل المادة الرمادية والبيضاء في الدماغ، وهما عنصران أساسيان للذاكرة والوظائف الإدراكية والصحة العامة للجهاز العصبي.
وبيّنت النتائج وجود اختلافات واضحة في أنسجة الدماغ، والمواد الكيميائية العصبية، وشدة الإشارات العصبية، إضافة إلى بنية الأنسجة، لدى المتعافين من كوفيد-19، حتى في حالات الإصابة الخفيفة. وأشار تاباليا إلى أن هذه التغيرات ترتبط بدرجة شدة الأعراض التي عانى منها المصابون، ما قد يفسر استمرار مشكلات إدراكية طويلة الأمد، مثل ضعف الذاكرة وصعوبة التركيز.
وأضاف الباحث أن هذه التأثيرات قد تستمر لأشهر، وربما لسنوات بعد الإصابة، ما يسلّط الضوء على الأبعاد العصبية بعيدة المدى للفيروس.
وتتوافق هذه النتائج مع تحذيرات سابقة لمنظمة الصحة العالمية، التي أكدت أن الأعراض طويلة الأمد لما بعد كوفيد-19 لا تزال تمثل مشكلة صحية خطيرة، تؤثر على أعداد كبيرة من الأشخاص حول العالم، وتتطلب مزيدًا من البحث والمتابعة الطبية.
للمزيد تابع
خليجيون نيوز على: فيسبوك | إكس | يوتيوب | إنستغرام | تيك توك
قدمنا لكم زوارنا أهم وأحدث الأخبار فى هذا المقال : دراسة بالرنين المغناطيسي تكشف تأثيرات طويلة الأمد لكوفيد-19 على الدماغ - وضوح نيوز, اليوم السبت 20 ديسمبر 2025 12:50 مساءً








0 تعليق